





توضیحات آگهی
راه های ارتباطی کلینیک تخصصی دندانپزشکی دکتر مجید سمائی تربت حیدریه
آدرس : خراسان رضوی – تربت حیدریه – خیابان فردوسی – فردوسی 2 – جنب ورودی بازار میوه – ابتدای کوچه – ساختمان اول
ساعت کاری :
شنبه تا چهارشنبه
صبح 9 تا 13:30 – عصر 16:30 تا 20:00
پنج شنبه ها فقط صبح 9:00 تا 13:30
شماره تماس : 05152284157
آیدی اینستاگرام : Dr.majid_samaei
لطفا در هنگام تماس بیان کنید که شماره شما را از سامانه برترین مشاغل دریافت نموده ام
کلینیک تخصصی دندانپزشکی دکتر مجید سمائی تربت حیدریه
کلینیک تخصصی دندانپزشکی دکتر مجید سمائی تربت حیدریه با انجام خدمات درمانی و زیبایی دندان ها با بیشتر از 5 سال تجربه درمان دندانپزشکی و استفاده از بهترین متریال همیشه تلاششان بر این بوده که درمان ها را با صبر و حوصله و با کیفیت بالا انجام دهند.
کلینیک تخصصی دندانپزشکی دکتر مجید سمائی در تربت حیدریه با گذارندن تحصیلات عالی و کسب مدارک لازم با دانش و مهارت های حرفه ای خود در این حوزه بهترین خدمات را به بیماران ارائه میدهند.
خدمات کلینیک تخصصی دندانپزشکی دکتر مجید سمائی در تربت حیدریه
ترمیم دندان
عصب کشی
کشیدن دندان
ایمپلنت دندان
جرم گیری دندان
جراحی دندان
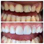
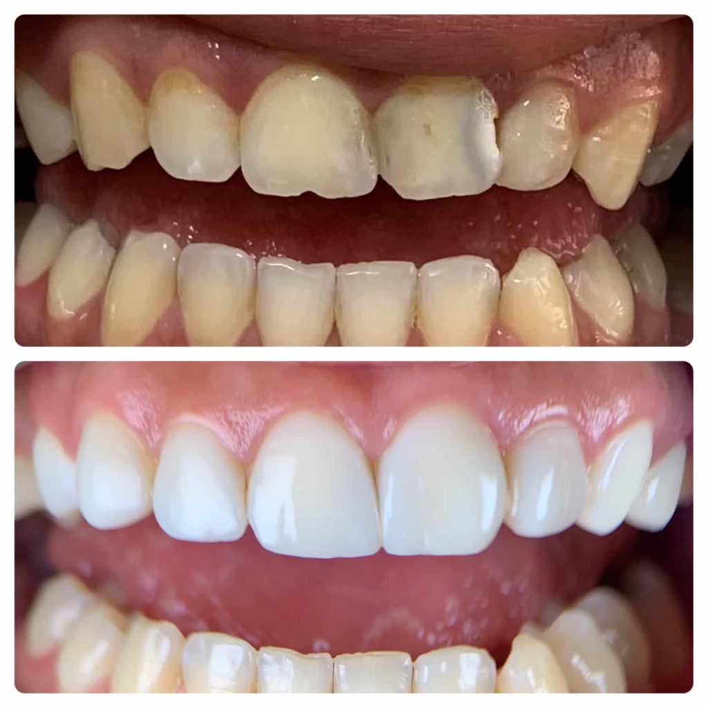
زیبایی دندان
ونیر کامپوزیت دندان
لمینت دندان
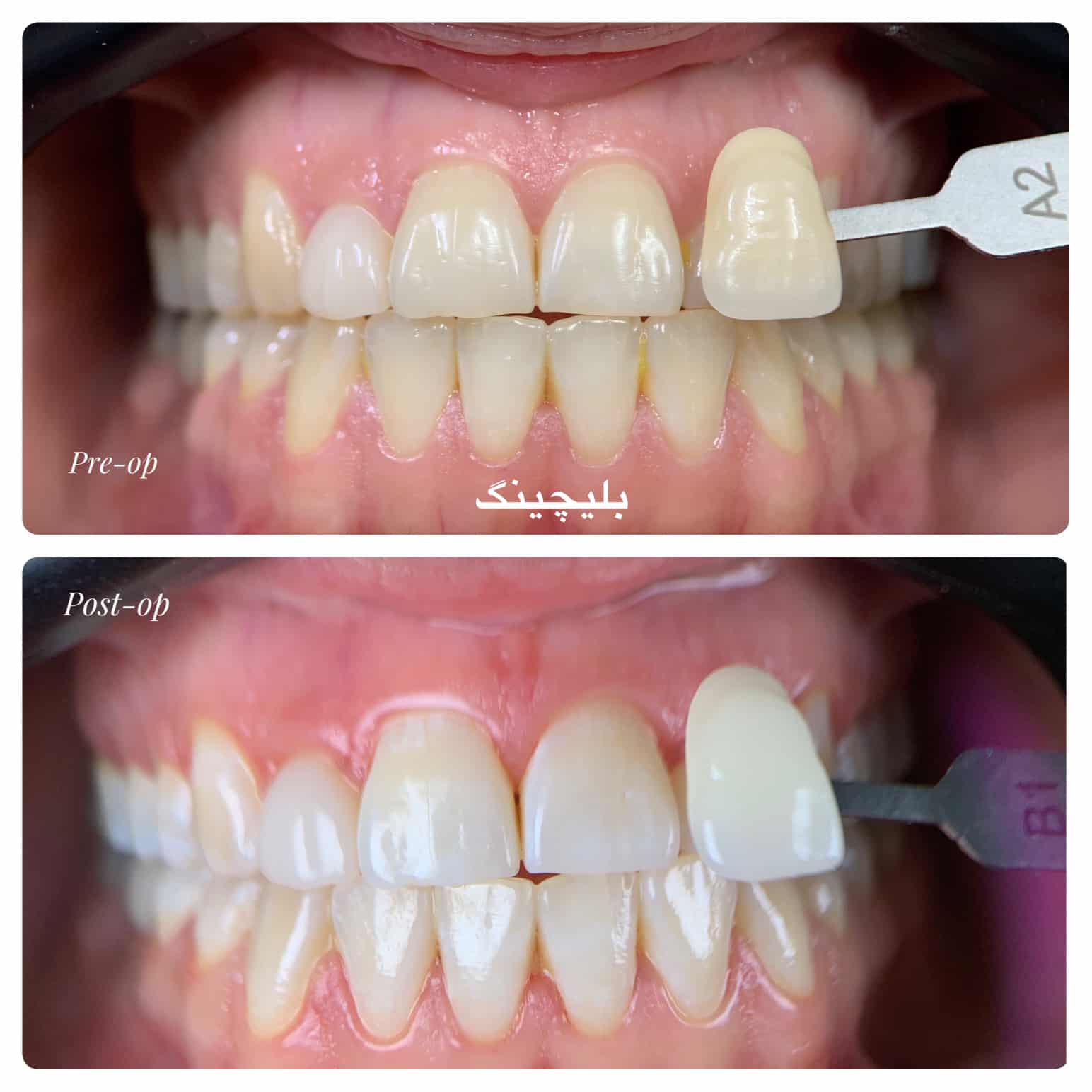
بلیچینگ دندان
طرف قرار داد با بیمه پارسیان و البرز
مدت ماندگاری درمان ها در کلینیک تخصصی دندانپزشکی دکتر مجید سمائی تربت حیدریه
ماندگاری هر درمان دندانپزشکی متفاوت است و این موارد به مواد مصرفی درانجام کار و طرز مراقبت هر مشخص بستگی دارد.
لمینیت دندان : 10 الی 15 سال
کامپوزیت دندان : 5 الی 7 سال
بلیچینگ دندان : 1 سال
ایمپلنت دندان : بیش از 20 سال
مزایای چشمگیر کلینیک تخصصی دندانپزشکی دکتر مجید سمائی در تربت حیدریه
انجام کار به صورت حرفه ای و باحوصله
در کلینیک تخصصی دندانپزشکی دکتر مجید سمائی تربت حیدریه تمام خدمات با اجرای اصولی و حرفه ای با حوصله و دقت فراوان برای تک تک بیماران انجام میشود.
استفاده از مواد مصرفی درجه یک
برای انجام کارهایی زیبایی و درمانی در کلینیک تخصصی دندانپزشکی دکتر مجید سمائی در تربت حیدریه با برندهای مرغوب صورت میگیرد که این باعث شده است بعد از انجام خدمات در این کلینیک و با رعایت بهداشت شما استحکام و ماندگاری بالایی را تجربه کنید.
چرا کلینیک تخصصی دندانپزشکی دکتر مجید سمائی در تربت حیدریه را انتخاب کنیم ؟
مشاوره رایگان
شما بیماران عزیز قبل انجام خدمات درمانی و زیبایی میتوانید توسط دکتر مجید سمائی یک مشاوره رایگان داشته باشید.
نوبت دهی منظم
کلینیک تخصصی دندانپزشکی دکتر مجید سمائی تربت حیدریه با نوبت دهی منظم و پرهیز از شلوغی سعی میکنند تا در کمال آرامش و با اختصاص وقت کافی و بدون عجله درمان های دندانپزشکی را انجام دهند.
محیط آرامش بخش
کلینیک تخصصی دندانپزشکی دکتر مجید سمائی در تربت حیدریه با فراهم کردن محیطی آرامش بخش و بهداشتی یک مکان عالی برای انتخاب شما میباشد.
دلایل زرد شدن دندان ها چیست ؟
استفاده از برخی داروها
علائم برخی بیماری ها
عدم رعایت بهداشت دهان و دندان
مصرف زیاد چای ، قهوه و سیگار
ژنتیک
فرسایش مینای دندان با گذشت زمان
زمانی که دندان شما مرتب وسالم است اما بنا به دلایلی زرد شده ، اصلا جای نگرانی ندارد زیرا شما میتوانید با روش جرمگیری حرفه ای در کلینیک تخصصی دندانپزشکی دکتر مجید سمائی در تربت حیدریه از شر زردی همیشگی خلاص بشوید وبا انجام این کار یک جلسه درمان مساوی با یک لبخند زیباتر و روشن تر داشته باشید.
نحوه مراجعه به کلینیک تخصصی دندانپزشکی دکتر مجید سمائی تربت حیدریه
برای مراجعه به کلینیک تخصصی دندانپزشکی دکتر مجید سمائی تربت حیدریه ابتدا باید به شماره درج شده در آگهی تماس بگیرند یا به آیدی اینستاگرام پیام دهید .
سپس به شما یک تاریخ و زمان جهت مشاوره اولیه برای انجام خدمات درمان و زیبایی داده میشود.
و در مراجعه اولیه شما به مطب ، توسط دکتر مجید سمائی دندان های شما را معاینه میکنند و در نهایت درمان مناسب شما را توصیه میکنند . و درآخر در همان زمان یا در زمان دیگر خدمات درمان شما را انجام دهند و بعد از درمان مراقبت های لازم را خدمت شما ارئه میدهند.
سخن آخر
اگر به دنبال یک دندانپزشکی مطعمن و کاربلد هستید، پیشنهاد ما به شما کلینیک تخصصی دندانپزشکی دکتر مجید سمائی تربت حیدریه است . این دندانپزشکی با آرامش و با اختصاص وقت کافی برای هر بیمار و بدون عجله تمام خدمات درمانی و زیبایی دندان شما را انجام میدهند.










نقد و بررسیها
هیچ دیدگاهی برای این محصول نوشته نشده است.